时间:2022-05-27 23:18 编辑:女性吧
大家好,我是一名内科医生,今天刷到这个这个问题我甚是疑惑,不要说别人了,我都忍不住点进来看看到底是哪三红、三事、三动,其实这也正是被众多人所诟病之处,即“标题党”,我从医数年也从未听过这种讲法来让心脏越来越健康,我觉得健康科普还是应该要建立在客观、事实的基础之上,不能用这种“障碍法”让老百姓看了也是云里雾里,心脏的问题还是应该针对不同的病因针对性的保健、治疗养生心经。既然来了,我今天就来为大家做一期“心脏”的科普讲解!

心脏的位置以及作用1、位置:心脏它位于我们的胸腔内,膈肌的上方二肺之间,约三分之二在中线左侧,如果拍过胸片的应该清楚,心脏的位置显示是非常明显的,外形的话心脏如一倒置的前后略扁的圆锥体,通俗点讲像一个桃子,心尖钝圆朝向左前下方,与胸前壁邻近,其体表投影在左胸前壁第五肋间隙锁骨中线内侧0.5-1.0cm处,故在此处可看到或摸到心尖搏动。心底较宽,有大血管由此出入,朝向右后上方,与食管等后纵隔的器官相邻。





2、我这里之所以要详细的讲解心脏的位置以及心脏大血管的走形,其实是涉及到社会上每个人都应该学会的技能,即心肺复苏,在黄金时间内如果旁边没有医护人员的情况下做了胸外按压,很可能就救了别人一命,我曾经出诊120也见过不少热心群众在医护人员到达之前进行过胸外按压,但按压部位不对,有的甚至按到右侧胸部了,在这里我再小小的科普一下,按压部位在胸骨的中下1/3交界处,正是心脏的位置。可能有些朋友不知道为什么按压这个部位可以救命,因为当人心脏骤停以后心脏泵血功能停止,那么我们的大脑等各个重要脏器就会缺血缺氧,所以通过外源性的按压可以起到一个暂时泵血的目的。





3、功能:心脏的泵血功能是心脏最主要的功能,正常情况下心脏通过其不断的收缩与舒张将来自于左心室的血液射入主动脉,并且推动血液运行,为大脑以及其他部位提供营养物质以及氧气来完成身体代谢的需求,在组织部位进行代谢之后血液会沿上下腔静脉回流进入心脏,随后心脏再次通过右心室将静脉血泵入肺组织,肺经过毛细血管的组织换血作用,使富含氧气的动脉血进入心脏当中,再次进入循环



4、心脏它还可以分泌利钠肽激素,它对维持人体的水、电解质的平衡,促进代谢产物的排泄具有重要的作用,而且还具有舒张血管、降低血压、调节心脏的功能——舒张肺动脉和支气管,增加肺表面的活性物质而改善肺的通气和换气;促进毛细血管内液体外渗,降低全身的血浆容量,细心的人应该会发现,很多心衰住院的患者医生都要反复复查一个指标,即BNP,因为心衰病人往往这个指标很高,住院经过一段时间治疗后慢慢会开始下降,所以这个化验项目也是指导临床治疗以及预后评估的重要参考所在。
心脏不好有哪些常见的症状?其实这个讲起来非常的广泛,因为心脏病是一个统称,里面包含了很多很多的心脏病种类,有可能是器质性、功能性、传导性、先天性等多种,那各种疾病也会有自己不同的临床症状,下面我将为大致的描述一下,仅供参考。
①心律失常时:指的是心跳过快、过慢、者不规则等,会有心慌、胸闷、心悸、呼吸急促、头晕等表现,像有些房颤的病人发作时还会有黑曚出现,即感觉眼前发黑,站不稳,有些早搏病人会有坐立不安,就是感觉心前区不舒服,怎么不舒服也描述不出来,所以有这些症状时需要格外注意。
②心脏泵血功能受损时:说白了也就是心脏每次搏动后打出去的血没有正常多了,那外周的器官血不够,就会有头晕、乏力、活动耐力减低、血压下降等情况出现,如果心衰,那么血液淤积,就会水肿,气急,呼吸困难,咳粉红色的泡沫痰,晚上睡觉不能平卧等。
③心肌缺血时:这点其实就和围绕心脏表面的供血血管(冠状动脉)有关,最为常见就是动脉粥样硬化,血管出现狭窄,那心肌供血不足就会有胸痛的表现,如果活动后疼痛会发作或者加剧,随着血管狭窄程度进一步严重,可能休息的时候都会有心绞痛发作,如果再继续发展下去,血管闭塞,即出现心肌梗死,这时候就会有心前区压榨性的疼痛。
④先天性心脏病时:其实这里面又分了很多种类型,常见的症状就是经常感冒、反复呼吸道感染,易患肺炎;生长发育差、消瘦、多汗;吃奶时吸吮无力、喂奶困难,或婴儿拒食、呛咳,平时呼吸急促;儿童诉说易疲乏、体力差;口唇、指甲青紫或者哭闹或活动后青紫,杵状指趾;喜欢蹲踞,会有晕厥、咯血等表现。
心脏病常见的检查方法①心电图以及24小时动态心电图:常规来讲可以看看心脏的传导怎么样,心率快不快,心律齐不齐,如果不齐那看看是房颤还是早搏,是心房引起还是心室引起,这是一个初步筛查,如果有问题,如室性早搏,那就需要进一步做动态心电图,看看一天早搏的次数多不多,这也是指导临床治疗的重要参考检查。
②超声心动图:可以通过B超观察到心脏的形态、室壁运动情况、心脏瓣膜活动情况、以及左室功能如何,EF值多少,有无先天性心脏病等。
③活动平板运动试验:可以在运动的过程中观察心律发生情况,用来判断运动和心律失常是否有关系,同时也可以观察心脏的供血情况用来协助诊断冠心病。
④放射性同位素心脏动态功能检查:通常分为心血管闪烁照相,心脏功能同位素检查和心肌同位素扫描3种,同位素心血管闪烁照相可以诊断二尖瓣狭窄或关闭不全,心包积液、心肌病、左心房黏液瘤等;心脏功能检查主要是心室射血分数,舒张期与收缩期末容量、每搏量、心排血量、肺血容量、瓣膜逆流及冠状动脉血流量等,同位素心肌扫描可以观察心肌梗死、心肌缺血、心肌血流灌注的储备功能等。
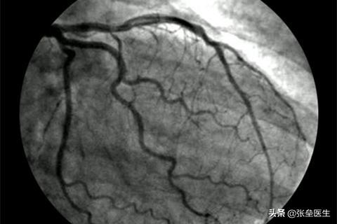
⑤导管及心血管造影检查:用于其它诊断手段难以确诊的心脏疾病。目前冠状动脉造影是诊断冠状动脉粥样硬化性心脏病的“金标准”,可以明确冠状动脉有没有狭窄、狭窄的部位、程度、范围,并为治疗方法提供依据,同时可以进行左心室造影,对心功能进行评估。
怎么去爱护好心脏?①生活方式上:要劳逸结合,保持情绪稳定,避免大喜大悲不要打乱生活规律要注意作息时间同时要节制娱乐,避免长时间看电视、打牌,避免长期劳累、熬夜、焦虑,精神过度紧张,避免剧烈活动等。
②饮食上:注意低盐、低脂的饮食,每日应当将食盐的摄入总量控制在6g以下,饮食当中要多吃新鲜的瓜果、蔬菜,因为新鲜的瓜果、蔬菜当中含有丰富的镁、钾以及叶酸成分,而这些成分有助于预防动脉粥样硬化的进展,可以进一步改善高血压的病情;定期监测心率、血压、心电图、血脂、肝功、肾功以及心脏彩超的检查,如果有我上述说的那些常见表现,最好及时去正规医院心内科完善检查、治疗。
大总结可能看到这里有些读者会感到失望,因为全文都没讲到究竟是通过多吃哪三红,少做哪三事,勤动哪三处来让心脏越来越健康,希望大家明白,医学上压根就没有这样子的讲法,如果心脏是正常、健康的,完全没有必要去多吃什么、多做什么来锦上添花,只是随着年龄的增长步入老年以后心脏功能会逐渐下降,那就要注意一下我上面提到的最后一点:从生活方式上、饮食上进行适当的调节即可,如有不适及时到医院检查、治疗才是正解!!!
作者寄语:每天都会为大家分享靠谱的医学知识,希望通过通俗易懂的语言来为大家答疑解惑,用自己的微薄之力来消除知识的不平等,如果有帮助,就帮我点个赞,谢谢大家支持!
参考文献:
1、汤健,等.循环系统的内分泌功能.北京医科大学中国协和医科大学联合出版社
2、凌凤东,等.心脏解剖与临床.北京大学医学出版社
3、王显.哪些症状说明心脏不好,中华养生保健.2017,10(10)33.